Dental fillings are used to stop further decay of one’s tooth or teeth. Tellman Dentistry uses the most advanced technology to offer strong, long-lasting fillings in a gentle, comfortable manner. Fillings are generally tooth-colored and can be placed in one short visit. Patients can return to work or school following this procedure with little or no pain.
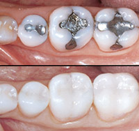
Many people still have silver/mercury fillings in their mouths from years past. These fillings are not particularly pleasing to the eye, and we know that by unavoidable design, silver/mercury fillings ultimately result in a weaker tooth structure. Porcelain inlays and tooth colored restorations (onlays) create fillings that are not only beautiful (or unnoticeable) but also add strength to weakened teeth. These restorations are esthetically pleasing and very strong thanks to new bonding technologies.
